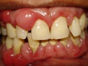
Most people understand that poor dental hygiene leads to cavities and gum disease, but groundbreaking research reveals a far more serious consequence: it could be silently threatening your heart. A remarkable 17-year study following older adults found that those with periodontitis faced a 50% higher risk of developing ischemic heart disease, with women showing an even more alarming 110% increased risk. Even more striking, recent research shows that seniors with no remaining teeth have an 83% higher risk of dying from cardiovascular disease compared to those who’ve maintained at least 20 teeth. This isn’t just about statistics—it’s about a hidden health crisis affecting millions of older adults. As we age, the stakes of dental neglect become literally a matter of life and death. The mouth, once thought to be separate from the rest of the body, is now recognized as a gateway that can either protect or endanger our cardiovascular system.