Home Biology How Long Do Human Cells Actually Live? Your Body Replaces Itself Constantly
Biology By Chuvic -

Most people imagine their body as a static collection of cells, but the truth is far more dynamic and surprising. New research has revealed that your body is in a constant state of renewal, with cells living, dying, and being replaced at astonishing rates. Scientists have uncovered the specific lifespans of different cell types, unveiling a hidden world of continuous transformation. These discoveries are not just fascinating—they’re changing our understanding of health, healing, and even the origins of disease. The story of cellular turnover is rewriting what we know about our own bodies, as highlighted by ongoing research from institutions like Nature.

1. The Science Behind Cell Lifespans

How Long Do Human Cells Actually Live? Your Body Replaces Itself Constantly
A scientist carefully examines cell samples in a laboratory, using carbon-14 dating techniques to unlock biological mysteries. | Photo by piqsels.com

How do scientists know how long your cells live? The answer lies in innovative techniques like carbon-14 dating, originally developed for archaeology. After nuclear bomb testing in the 20th century, carbon-14 levels spiked worldwide, creating a “clock” in human tissues. By measuring these traces, researchers can pinpoint when a cell was born. Combined with advanced imaging and molecular analysis, these methods have revolutionized our understanding of the body’s continuous renewal. Studies using these techniques are transforming cell biology, as documented by Scientific American.

2. Stomach Lining Cells: Rapid Renewal

How Long Do Human Cells Actually Live? Your Body Replaces Itself Constantly
A close-up view reveals the intricate regeneration of stomach lining, showcasing clusters of microscopic cells in vivid detail. | Photo by CDC on Pexels

The cells lining your stomach face a relentless onslaught from powerful digestive acids. To survive this harsh environment, these cells are replaced astonishingly fast—typically every 2 to 9 days.
This rapid turnover is crucial for maintaining digestive health and quickly repairing damage from minor injuries or irritation. Without this constant renewal, our stomachs would be vulnerable to ulcers and severe damage. Research published in Frontiers in Cell and Developmental Biology highlights just how essential this rapid cellular replacement is for our survival.

3. Skin Cells: A 2-3 Week Cycle

How Long Do Human Cells Actually Live? Your Body Replaces Itself Constantly
Skin cells in the epidermis work together to close a wound, showcasing the body’s remarkable healing process. | Photo by nursinghero.com

Your skin is in a state of constant renewal, with most skin cells living for just 2-3 weeks before being shed and replaced. This continuous cycle forms your body’s first line of defense against the outside world, protecting you from pathogens, UV rays, and physical injury. It’s also why wounds can heal quickly and why exfoliation—removing dead skin cells—leaves skin looking fresh. For more on skin cell turnover and its role in health, see Harvard Health.

4. Red Blood Cells: 120-Day Lifespan

How Long Do Human Cells Actually Live? Your Body Replaces Itself Constantly
Vivid red blood cells stream through a vessel, illustrating the dynamic flow central to hematology studies. | Photo by globalspec.com

Red blood cells are remarkable for their crucial job: delivering oxygen to every cell in your body. These cells have an average lifespan of about 120 days before they’re removed and replaced by new ones from the bone marrow. This steady turnover ensures that your tissues always have a fresh supply of oxygen, directly influencing your energy levels and overall health. Disruption in this process can lead to anemia or other blood disorders. Learn more at MSD Manuals.

5. Neurons: Built to Last a Lifetime

How Long Do Human Cells Actually Live? Your Body Replaces Itself Constantly
A vibrant network of neurons and brain cells weaves intricate connections, illustrating the complexity of the human nervous system. | Photo by pursuit.unimelb.edu.au

Unlike most cells, many neurons in your brain are designed to last a lifetime. These long-lived cells are responsible for storing memories and shaping your personality. While there are exceptions—such as new neurons forming in areas like the hippocampus—most brain cells are rarely replaced. This remarkable longevity helps explain why damage to neurons can have lasting effects and why neurodegenerative diseases are so devastating. For a deeper dive, visit NIH Research Matters.

6. Heart Muscle Cells: Enduring Through Decades

How Long Do Human Cells Actually Live? Your Body Replaces Itself Constantly
A close-up view of heart muscle cells forming intricate cardiac tissue, captured at the moment of a synchronized heartbeat. | Photo by courses.lumenlearning.com

Most of your heart muscle cells—known as cardiomyocytes—are remarkably long-lived, lasting for decades or even a lifetime. Only a small fraction are replaced each year, which means your heart’s capacity for regeneration is limited. This enduring nature explains why recovery after a heart attack is so challenging and why heart muscle damage often leads to lasting complications. Age-related heart disease is closely linked to this slow turnover. For more, see Scientific American.

7. Liver Cells: Renewal Every 150-500 Days

How Long Do Human Cells Actually Live? Your Body Replaces Itself Constantly
A vibrant cluster of liver cells showcases the organ’s remarkable ability to regenerate and perform vital detoxification tasks. | Photo by frontiersin.org

The liver is famous for its extraordinary regenerative capacity. Most liver cells, or hepatocytes, are replaced every 150 to 500 days—roughly every 5 months to 1.5 years.
This rapid renewal is crucial for the liver’s vital roles in detoxifying the blood, processing nutrients, and recovering from injury or disease. It’s why the liver can often recover from significant damage, provided the underlying cause is addressed. Explore more at NCBI.

8. Gut Lining Cells: Fast Turnover

How Long Do Human Cells Actually Live? Your Body Replaces Itself Constantly
A close-up view of intestinal cells forming the gut lining, showcasing the intricate structure of the digestive system. | Photo by philschatz.com

The cells lining your intestines—called epithelial cells—are among the fastest-renewing in the body, replacing themselves every 3-5 days. This rapid turnover is essential for maintaining a strong barrier against toxins, bacteria, and other harmful substances that pass through the gut.
By continually shedding and regenerating, your gut lining helps keep infections at bay and ensures efficient nutrient absorption. For more on this protective process, visit National Center for Biotechnology Information (NCBI).

9. Bone Cells: Remodeling Over Years

How Long Do Human Cells Actually Live? Your Body Replaces Itself Constantly
Clusters of osteoblasts work together on the bone surface, actively reshaping and renewing bone tissue during remodeling. | Photo by frontiersin.org

Your skeleton is far from static. Specialized bone cells—osteoclasts (which break down bone) and osteoblasts (which build new bone)—are constantly at work reshaping your bones.
This process, known as bone remodeling, ensures that most of your skeleton is replaced roughly every 10 years. It allows bones to adapt to stress, repair damage, and regulate minerals in the body. For a detailed overview of bone cell turnover, refer to NCBI Bookshelf.

10. Fat Cells: Years in the Making

How Long Do Human Cells Actually Live? Your Body Replaces Itself Constantly
A close-up view of plump adipocytes, or fat cells, clustered together to form body fat tissue. | Photo by courses.lumenlearning.com

Adipocytes, or fat cells, have a surprisingly long lifespan—often lasting 8 years or more. These cells are crucial for storing energy and regulating metabolism.
When you gain or lose weight, it’s usually the amount of fat within each cell that changes, not the total number of fat cells. This is why long-term weight management can be challenging. For more on the science of fat cell turnover, see NCBI: Fat Cell Turnover.

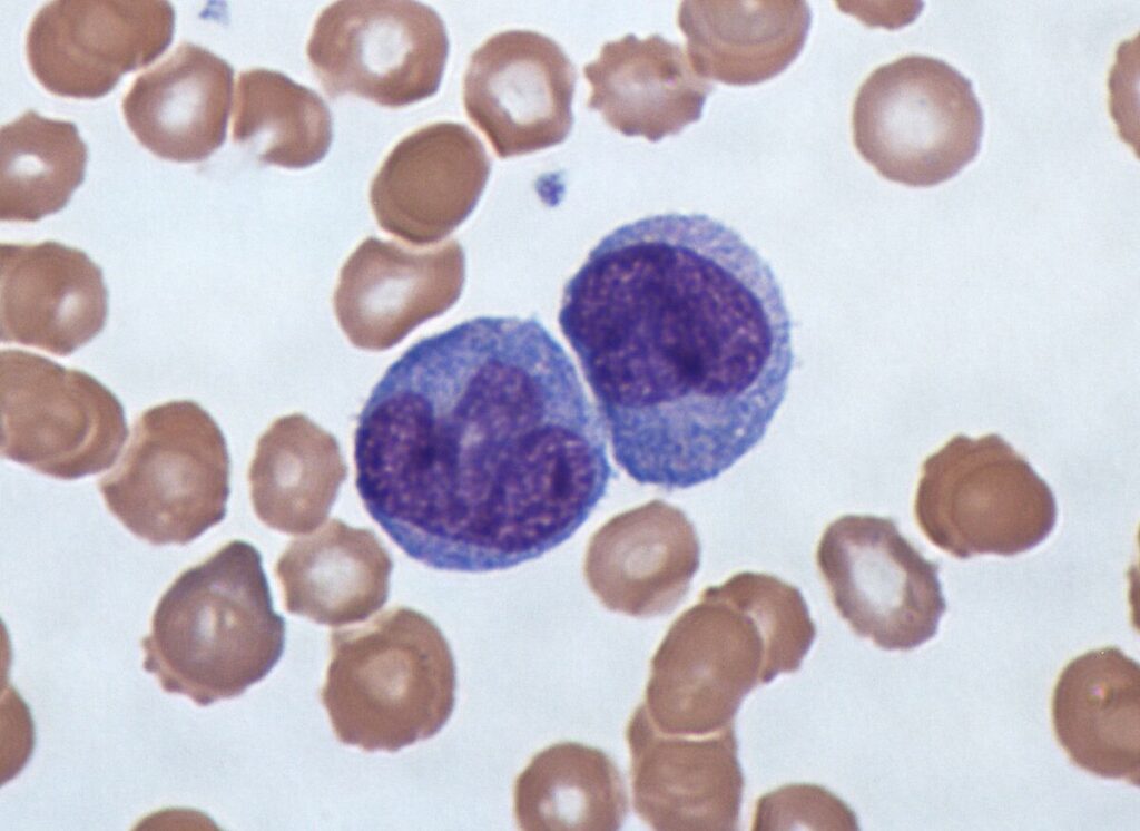
11. White Blood Cells: Days to Years

How Long Do Human Cells Actually Live? Your Body Replaces Itself Constantly
A close-up view of white blood cells, including lymphocytes, working together to defend the body’s immune system. | Photo by wikimedia.org

White blood cells are the body’s frontline defenders, and their lifespans vary widely based on their type and function. Neutrophils, for example, may survive only a few days, quickly responding to infections.
In contrast, memory cells can persist for years, providing long-term immunity after exposure to pathogens. This diversity ensures both rapid and lasting protection against disease. For a comprehensive look at white blood cell turnover, visit NCBI Bookshelf.

12. Platelets: Short-Lived Protectors

How Long Do Human Cells Actually Live? Your Body Replaces Itself Constantly
Tiny platelets cluster together in a vibrant red blood flow, showcasing the crucial process of blood clotting in hematology. | Photo by courses.lumenlearning.com

Platelets are tiny cell fragments in your blood with a crucial job: stopping bleeding by forming clots. They have a brief lifespan of just 7-10 days, after which they’re replaced by new platelets from the bone marrow.
Their rapid turnover is essential for maintaining the body’s ability to heal wounds and minimize blood loss from injuries. Without this constant renewal, even minor cuts could become dangerous. For more, see NCBI Bookshelf: Platelets.

13. Hair Follicle Cells: Growth Cycle

How Long Do Human Cells Actually Live? Your Body Replaces Itself Constantly
A close-up view of a hair follicle nestled in the scalp, revealing the intricate process of hair growth and cell activity. | Photo by frontiersin.org

Hair follicle cells follow a distinct growth cycle consisting of phases: growth (anagen), rest (telogen), and shedding (catagen). This cycle ensures that hair is continually renewed, with each follicle operating on its own timetable.
Most scalp follicles remain in the growth phase for years, while others rest and eventually shed old hairs to make way for new growth. This dynamic cycle explains why we lose and regrow hair regularly. For more details, visit NCBI Bookshelf: Hair Growth Cycle.

14. Lung Cells: Renewal and Repair

How Long Do Human Cells Actually Live? Your Body Replaces Itself Constantly
A close-up view of lung cells reveals the intricate, bubble-like structure of alveoli crucial for breathing. | Photo by philschatz.com

Alveolar cells, which line the tiny air sacs in your lungs, are regularly renewed every few months. This ongoing replacement supports healthy breathing by maintaining the delicate structures needed for gas exchange.
When the lungs are exposed to injury or pollutants, this rapid turnover helps repair and restore function, reducing long-term damage. The process is vital for respiratory health and resilience. For more information, see NCBI: Lung Regeneration.

15. Corneal Cells: Eye Renewal

How Long Do Human Cells Actually Live? Your Body Replaces Itself Constantly
A close-up view reveals intricate eye cells forming the clear cornea, essential for focusing and sharp vision. | Photo by nursinghero.com

The corneal epithelium—the outermost layer of your eye—renews itself about every week. This rapid turnover is essential for keeping the cornea clear and maintaining sharp vision.
If you get a minor scratch or injury to the surface of your eye, these cells swiftly regenerate, allowing for quick healing and protection against infection. This remarkable renewal helps preserve the delicate transparency needed for sight. Learn more at American Academy of Ophthalmology.

16. Pancreatic Cells: Mixed Lifespans

How Long Do Human Cells Actually Live? Your Body Replaces Itself Constantly
A close-up view of pancreatic beta cells, highlighting their crucial role in insulin production and diabetes management. | Photo by courses.lumenlearning.com

Pancreatic cells exhibit a range of lifespans depending on their function. Most notably, insulin-producing beta cells can survive for several years, making their preservation crucial in the fight against diabetes.
Damage or loss of these long-lived cells can lead to serious metabolic disorders, underscoring why beta cell regeneration is a major focus for diabetes research and new therapies. For further insights into pancreatic cell turnover, read NCBI: Pancreatic Beta Cell Turnover.

17. Kidney Cells: Slow Regeneration

How Long Do Human Cells Actually Live? Your Body Replaces Itself Constantly
A detailed view of kidney cells and nephrons reveals the intricate structures responsible for maintaining essential renal function. | Photo by frontiersin.org

Kidney cells are known for their slow turnover, with many surviving for years before being replaced. This sluggish regeneration makes recovery from kidney injury difficult and increases susceptibility to chronic kidney disease if significant cell loss occurs.
While some cell populations in the kidney can regenerate after damage, the overall renewal rate is much slower compared to other organs. This slow pace is a key factor in the progression and prognosis of kidney-related illnesses. Learn more at NCBI: Renal Cell Turnover.

18. Taste Bud Cells: Sensing Renewal

How Long Do Human Cells Actually Live? Your Body Replaces Itself Constantly
A close-up view of taste buds nestled among tongue cells, highlighting the intricate structures responsible for sensing flavors. | Photo by frontiersin.org

Taste bud cells have a short lifespan of just 10-14 days, constantly renewing to keep your sense of taste fresh and responsive. This rapid turnover allows you to recover quickly from injuries like burns and adapt to new tastes and dietary changes.
Thanks to this ongoing renewal, your ability to sense flavors remains sharp throughout life, although aging and illness can affect the process. For more on taste bud regeneration, visit NCBI: Taste Bud Cell Renewal.

19. Sperm Cells: Constant Production

How Long Do Human Cells Actually Live? Your Body Replaces Itself Constantly
A cluster of active sperm cells swims energetically, highlighting the essential role they play in male fertility and reproduction. | Photo by thuocdantoc.vn

Sperm cells are unique for their continuous production and rapid turnover. Each sperm cell survives for just a few days, but the body constantly generates millions more to maintain fertility.
This relentless production ensures a steady supply for reproduction and helps support genetic diversity within populations. Any disruption in this process can impact fertility. For a deeper understanding of sperm cell lifespans and production, see NCBI Bookshelf: Male Reproductive System.

20. Egg Cells: Lifetime Supply

How Long Do Human Cells Actually Live? Your Body Replaces Itself Constantly
A detailed illustration shows egg cells nestled within the ovaries, highlighting a key stage in female reproduction. | Photo by wikimedia.org

Unlike sperm, egg cells (oocytes) are present from birth. Females are born with their full supply, which can persist for decades. No new eggs are produced after birth, so the quantity and quality decline naturally with age.
This finite supply has profound effects on fertility and reproductive aging, ultimately influencing the timing of menopause. The longevity of egg cells is a key factor in women’s reproductive health. To learn more, visit Eunice Kennedy Shriver NICHD.

21. Muscle Cells: Postnatal Persistence

How Long Do Human Cells Actually Live? Your Body Replaces Itself Constantly
A close-up view of vibrant skeletal muscle cells highlights the dynamic process of muscle regeneration and cellular repair. | Photo by nursinghero.com

Most skeletal muscle cells are formed during early development and persist throughout life. This longevity enables muscle memory, allowing you to regain strength or skills after periods of inactivity.
However, adult muscle has a limited capacity for regeneration, relying on specialized satellite cells for minor repairs. Severe injuries or certain diseases can overwhelm this repair system, leading to lasting weakness. For more on muscle cell persistence and regeneration, visit NCBI: Muscle Regeneration.

22. Cartilage Cells: Minimal Renewal

How Long Do Human Cells Actually Live? Your Body Replaces Itself Constantly
A close-up view of cartilage cells embedded in joint tissue, highlighting the cellular changes often seen in arthritis. | Photo by frontiersin.org

Cartilage cells, or chondrocytes, exhibit very slow renewal rates. Unlike many other tissues, cartilage lacks a direct blood supply, which severely limits its ability to heal after injury.
This minimal regenerative capability is why joint injuries often linger and why conditions like arthritis can become chronic and progressively worsen. Research continues to seek ways to enhance cartilage repair. For further reading, see NIAMS: Cartilage Repair.

23. Retina Cells: Vision for Life

How Long Do Human Cells Actually Live? Your Body Replaces Itself Constantly
A close-up view of delicate retina cells highlights the intricate structures affected by vision loss. | Photo by Navneet Shanu on Pexels

Retinal cells, especially photoreceptors, have a limited capacity for renewal. Most of these vital cells are meant to last a lifetime, supporting our sense of vision from childhood through old age.
Because they rarely regenerate, damage from injury, disease, or aging can lead to permanent vision loss or degenerative eye conditions like macular degeneration. Advances in regenerative medicine aim to overcome these challenges. For more, explore NEI: Retinal Degenerative Diseases.

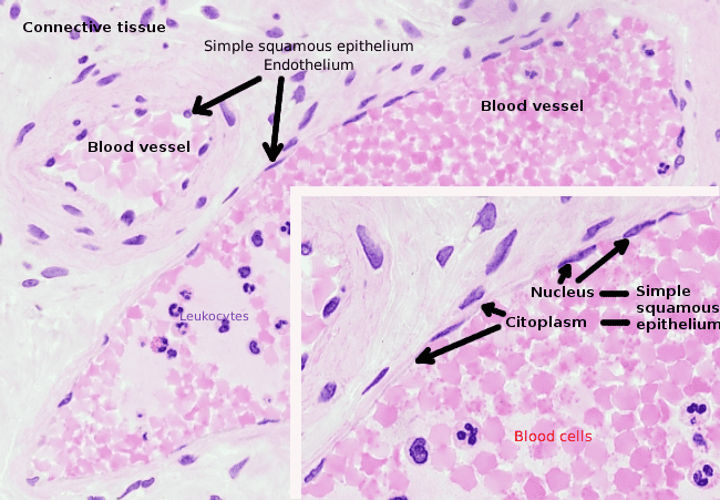
24. Endothelial Cells: Vascular Renewal

How Long Do Human Cells Actually Live? Your Body Replaces Itself Constantly
A close-up view reveals endothelial cells lining the intricate network of blood vessels within the human vascular system. | Photo by mmegias.webs.uvigo.es

Endothelial cells form the inner lining of blood vessels and are continually replaced to maintain vascular integrity. Their turnover is vital for repairing vessel walls after injury and preventing atherosclerosis or blood clots.
Healthy endothelial renewal supports overall cardiovascular health, while impaired regeneration can increase risk for heart attack and stroke. Ongoing research explores how to enhance this renewal process for better vascular health. For more details, visit American Heart Association Journals.

25. The Daily Cell Turnover: 330 Billion Replacements

How Long Do Human Cells Actually Live? Your Body Replaces Itself Constantly
A dynamic illustration shows new human cells replacing old ones, highlighting the continuous process of cell turnover in the body. | Photo by agmr.hapres.com

Every day, your body is engaged in a staggering feat of renewal, replacing about 330 billion cells—roughly 1% of your total cells. This astonishing turnover rate highlights the dynamic nature of human biology.
From the skin you shed to the blood that circulates, cellular renewal is happening constantly and on a massive scale. This daily replenishment is essential for maintaining health and adapting to life’s challenges. Read more at Science.org.

26. Cellular Renewal and Wound Healing

How Long Do Human Cells Actually Live? Your Body Replaces Itself Constantly
A close-up view of skin tissue in the midst of regeneration, highlighting the intricate process of wound healing. | Photo by frontiersin.org

High cell turnover in tissues like skin, gut lining, and the cornea is crucial for rapid wound healing. When these tissues are injured, fresh cells quickly move in to replace damaged ones, speeding up recovery and reducing infection risk.
This regenerative ability explains why minor cuts, scrapes, or burns often heal so swiftly. The process is a testament to the body’s remarkable self-repair mechanisms. For more on wound healing and cell turnover, visit NCBI: Wound Healing.

27. Exercise, Adaptation, and Cellular Turnover

How Long Do Human Cells Actually Live? Your Body Replaces Itself Constantly
A focused athlete lifts weights in a vibrant gym, highlighting the process of muscle adaptation and cell regeneration in action. | Photo by Mikhail Nilov on Pexels

Exercise is a powerful driver of cellular adaptation and renewal. Physical activity stimulates higher cell turnover in muscles, bones, and even blood vessels, promoting growth, repair, and resilience.
Regular exercise encourages muscle fibers to adapt and regenerate, while also strengthening bones through increased remodeling. These changes help the body withstand stress and reduce the risk of injury or disease. For more on the links between exercise and cell turnover, visit NCBI: Exercise and Cellular Adaptation.

28. Cancer Risks and Rapidly Dividing Cells

How Long Do Human Cells Actually Live? Your Body Replaces Itself Constantly
Cancer cells caught mid-division, vividly illustrating the rapid and chaotic growth studied in oncology research. | Photo by jitc.bmj.com

Tissues with high cell turnover rates, such as the gut and skin, are more vulnerable to cancer development. Every time a cell divides, there’s a chance for DNA mutations to occur—some of which can lead to uncontrolled growth.
This delicate balance between renewal and mutation is why cancers like colon and skin cancer are more common. It underscores the importance of cellular repair mechanisms. For additional context, visit National Cancer Institute.

29. Aging and Slowing Cell Renewal

How Long Do Human Cells Actually Live? Your Body Replaces Itself Constantly
A close-up of wrinkled hands holding a glowing cell diagram, symbolizing the link between aging and cellular senescence. | Photo by SHVETS production on Pexels

As we age, cellular turnover rates naturally decline. This slowdown means tissues like skin, muscle, and bone regenerate more slowly, leading to visible signs of aging—thinner skin, slower wound healing, and graying hair. Reduced renewal also contributes to degenerative diseases, as old or damaged cells accumulate and tissue function declines. Understanding these changes is key to developing anti-aging therapies. For more on aging and cell turnover, visit National Institute on Aging.

30. Harnessing Cellular Turnover for Medicine

How Long Do Human Cells Actually Live? Your Body Replaces Itself Constantly
A scientist carefully examines cultured cells under a microscope, advancing cell therapy breakthroughs in regenerative medicine research. | Photo by flickr.com

A deeper understanding of cell lifespans and renewal is revolutionizing medicine. Researchers now use this knowledge to develop targeted treatments for diseases, boost regenerative medicine, and design anti-aging therapies.
By harnessing the body’s natural renewal processes, doctors can repair damaged tissues, slow degenerative changes, and even regenerate organs. This science is paving the way for groundbreaking advances in health care. For more on these medical frontiers, see Stanford Medicine.

Conclusion

How Long Do Human Cells Actually Live? Your Body Replaces Itself Constantly
A colorful diagram illustrates the stages of the cell cycle, highlighting breakthroughs that advance human health and scientific discovery. | Photo by frontiersin.org

The human body’s astonishing capacity for cellular renewal shapes every aspect of our health, from healing wounds to resisting disease and aging. Lifespans of cells range from mere days to an entire lifetime, reflecting the unique needs of each tissue.
Understanding these cycles not only unravels the mysteries of healing and degeneration but also fuels advances in regenerative medicine and anti-aging research. The future of health will be deeply rooted in our growing knowledge of cellular biology—read more at Scientific American.

Medical Disclaimer

How Long Do Human Cells Actually Live? Your Body Replaces Itself Constantly
A bold medical disclaimer appears at the top of a document, emphasizing important health warnings and informational content. | Photo by pngall.com

This article is for informational purposes only and is not a substitute for professional medical advice, diagnosis, or treatment. Always consult a qualified healthcare provider with any questions about your health or before making medical decisions. For more guidance, visit the MedlinePlus Medical Encyclopedia.

Advertisement